不写作业,母慈子孝
一写作业,鸡飞狗跳
这已经不是一句玩笑话
而是当下很多父母辅导孩子的真实写照

每个陪孩子写作业的家长
都有一部“血泪史”
最近
有一位妈妈因为辅导孩子写作业
被气到送医抢救……
妈妈辅导作业气到眼前发黑!
家人紧急送医
谁能想到
一次辅导作业时情绪激动
竟成了引爆林女士(化名)
颅内脑瘤的导火索
一场与死神竞速的紧急救治
就此拉开
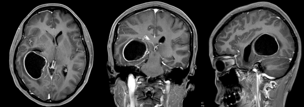
近日,林女士(化名)反复出现头痛头晕,在当地诊所简单处理后稍有缓解,便没放在心上。
一天晚上,她在辅导孩子作业时,情绪突然激动,头部随即爆发剧烈胀痛,紧接着眼前发黑,几乎看不清任何东西,家人立即将她送往当地医院。
医院接诊时,患者的情况已不容乐观,头痛反复发作,伴有呕吐,逐渐陷入嗜睡状态。急诊完善磁共振,明确患者是颅内占位病变卒中出血,并形成右侧颞角脑积水进行性加重。
甘露醇脱水的效果越来越差,患者颅内这颗“炸弹”正在持续引爆,必须立即干预。医院果断为患者急诊行右侧颞枕叶占位病变切除术手术。

术前影像检查(图源广东三九脑科医院)
术后,林女士意识逐渐恢复清醒,而且四肢能够遵嘱活动。术后第十天,林女士顺利康复出院。
经历过这次惊险,她也坦言,以后一定要多关心自己的身体,再也不因为“鸡娃”把自己累垮,连身体发出的警报都忽略了。
辅导作业被气到进医院
这件事看似离谱
但这样的事并非首次发生
深圳此前就有位倒霉爸爸
被气到心梗
据广东省深圳市第三人民医院公号消息,深圳市第三人民医院就接诊了一位因为辅导作业被气到心梗的家长。
这位父亲45岁,每天除了勤勤恳恳地上班,回家还要辅导孩子作业。
一天,这位父亲照常辅导小学三年级的儿子写作业,老父亲唾沫横飞,讲了无数遍同一道题,孩子还是一脸懵。
打孩子?会心疼;拍桌子?会骨折。被逼无奈,暴怒中的父亲一边抓狂“狮吼”一边辅导作业。突然,这位父亲觉得胸口有点痛而且喘不上气,突然眼前一黑,晕过去了。
随后,这位父亲被紧急送到深圳市第三人民医院就诊。经过检查后,诊断为:急性冠脉综合征,也就是我们俗称的“心梗”。

▲这位父亲的病历
这位父亲说自己没有高血压、糖尿病、冠心病等病史,为什么会突发心肌梗死?医生表示,原因很简单“被气的”!
辅导个作业被气到进医院
现在的家长们真的是太太太难了
看到这里
不少家长表示感同身受:
你不是一个人

还有家长表示
已经将一切看淡
保命要紧

给孩子辅导作业的过程中,相信不少家长遇到过这些情况:孩子经常“作业能拖就拖,一会儿要上厕所、一会儿要喝水,还有各种小动作”……对于孩子做作业注意力不集中、拖拉等问题,浙江省人民医院精神卫生科主任苏衡进行梳理分析,认为原因大致有这些:
孩子没有养成良好的学习习惯
觉得应该先玩够了再来学习,不会自主地安排时间,经常玩手机、看电视等。也有的孩子是对学习的要求过高,如有些学生要求每个字都要漂亮,每道题目做完后都要检查很多遍。
对学习的认知出现了偏差
“学习是父母的事情,和我没有关系”“学习是痛苦的事情,学习是枯燥乏味的”等等。
有情绪上的变化
在学校里受到老师的批评,被同学欺负,或家庭关系不和谐、碰到了其他比较重大的生活事件的刺激等。
心理疾病
抑郁症、焦虑症、注意缺陷综合征等。
医生表示
作为家长
应根据不同的问题原因
进行相应的处置
父母要在孩子面前做一个好的榜样:比如孩子做作业的时候不要看手机、玩游戏等。
培养孩子良好的习惯:“做完作业才能做别的事情”,让孩子自己安排自己的学习先后顺序,不要对孩子规定得太死,要让孩子按照自己的节奏来学习。
在孩子学习的时候不要贸然打断孩子:如有时题目做错了,要等到孩子做完一项作业后或者全部作业后,再统一进行订正。而不是中途打断孩子马上订正,这样孩子学习进程会被终止,且也会产生负面情绪,又影响了下面的学习。
和孩子经常沟通:孩子主动和父母交谈,要做一个好的倾听者,不要随便批评、指正他的想法。即使有些思想比较幼稚或者不好,也要在他说完之后用适当的方法进行沟通。孩子不愿意说,父母就可以自己先说,或者从他感兴趣的话题开始说起。不要只问成绩,要关注孩子们整个的学习生活。让孩子慢慢建立起“自己为自己负责”的基本观念。
让孩子真正喜欢学习:对学习的兴趣永远比学习成绩更重要。要通过案例讲述、以身作则,让孩子知道学习是一件终生的事,只是方式不同。这个世界是丰富多彩的,学习是来了解、认识、分析、预测这个美丽的世界的,而不仅仅是为了成绩。
孩子注意力集中时间短,得在孩子集中注意力一段时间后,根据孩子自己的要求适当休息,并对他们长时间集中注意力给予表扬。如孩子做作业时总是动来动去,从不安静,甚至在课堂上也会经常走来走去,要注意孩子是否患上“注意缺陷与多动障碍”,应及时到儿童精神科就诊。
各位家长辅导作业时
有过哪些“上头”经历
欢迎留言分享
也给自己的身体提个醒:
健康比满分更重要!
